Dott. Dario Severino Odontoiatra


Vai ai contenuti

Interventi effettuati dal Dott. Dario Severino

 
banner libro horizontal

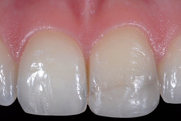
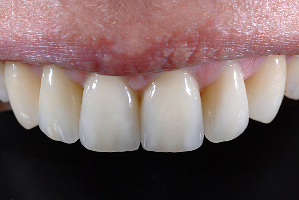
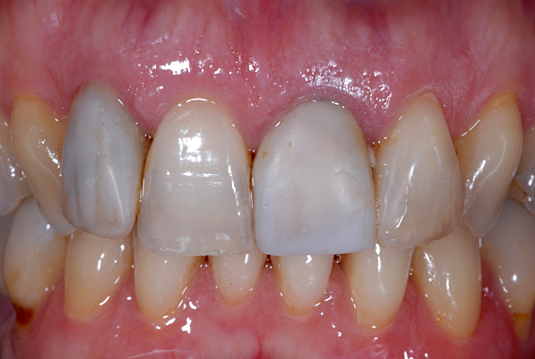
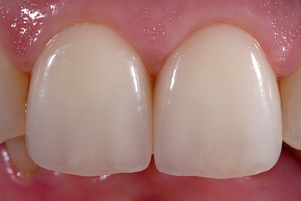
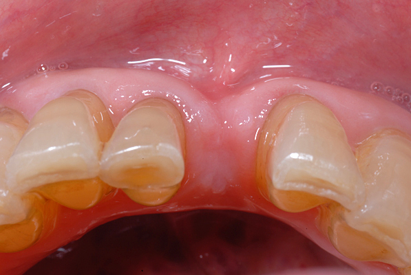
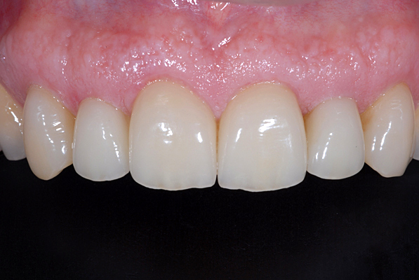
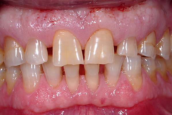
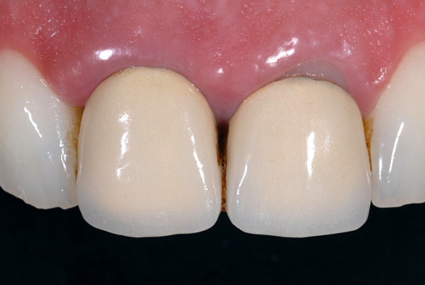
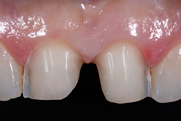
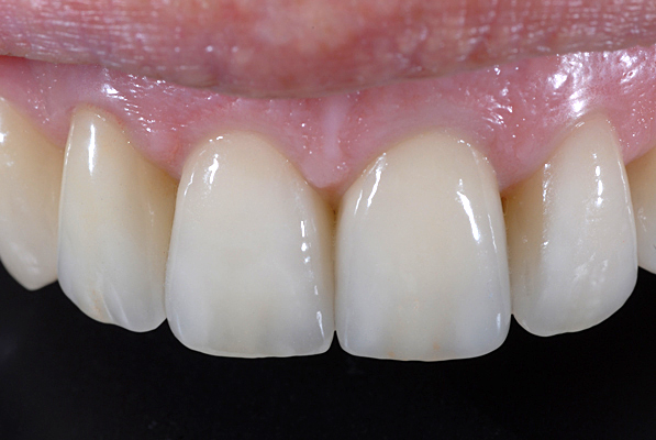
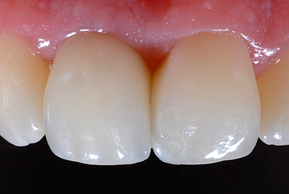
2 INCISIVI CENTRALI

 

Sostituzione di due corone in metallo-ceramica con due corone in ceramica integrale.

 
   
 

6 FACCETTE SUPERIORI

 

Riabilitazione del sorriso con 6 faccette in ceramica integrale.

 
   
 

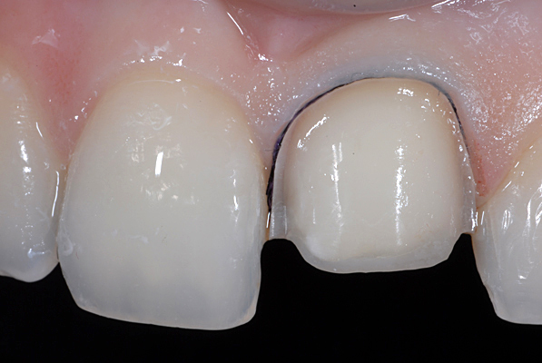
CORONA SINGOLA

 

Sostituzione di una vecchia corona in metallo-ceramica su un incisivo centrale superiore.

 
   
 

FACCETTA SINGOLA

 

Faccetta in ceramica integrale su incisivo centrale superiore.

 
   
 

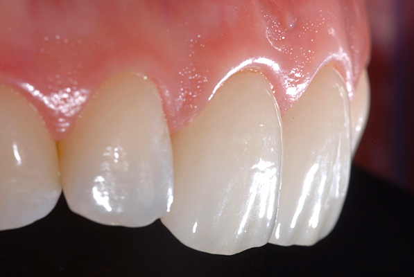
FACCETTE

 

Realizzazione di 2 faccette in ceramica integrale sugli incisivi centrali superiori.

 
   
 

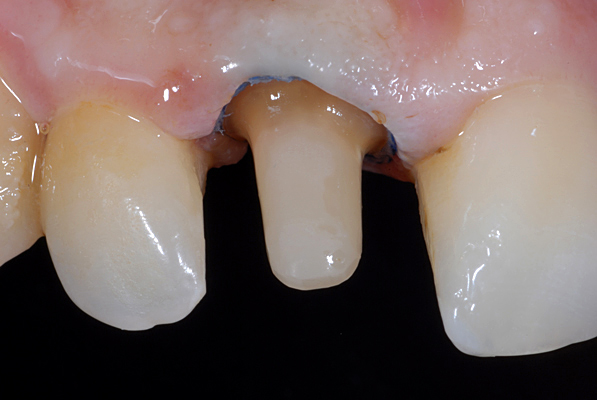
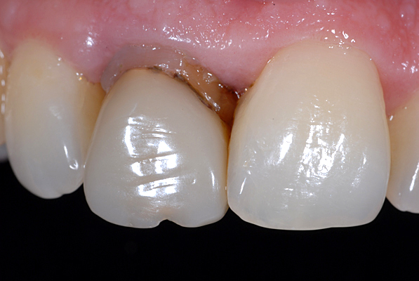
IMPIANTO

 

Ripristino di un incisivo centrale inferiore con un impianto.

 
   
 

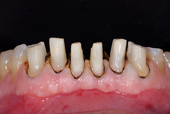
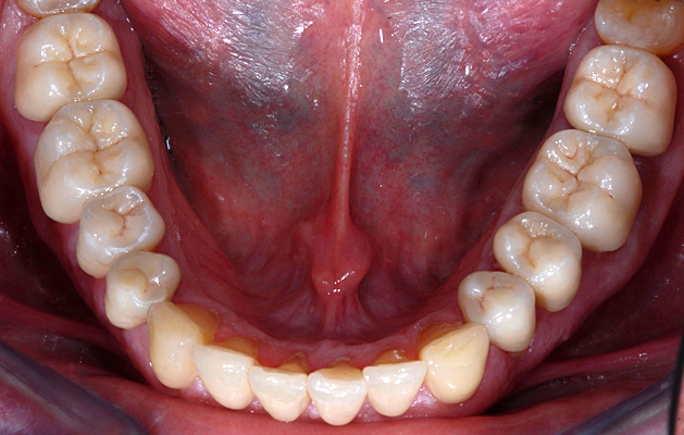
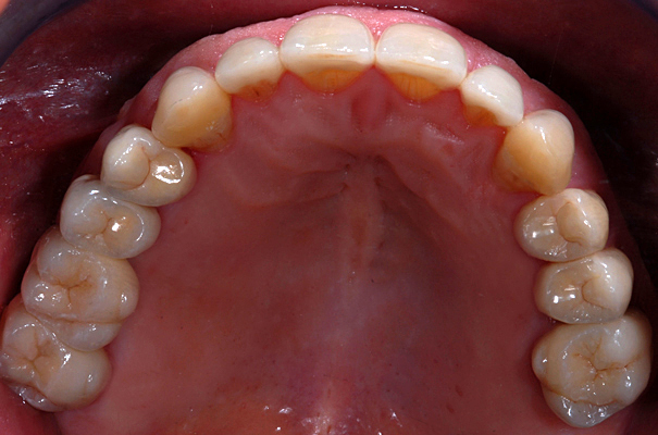
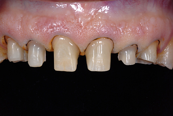
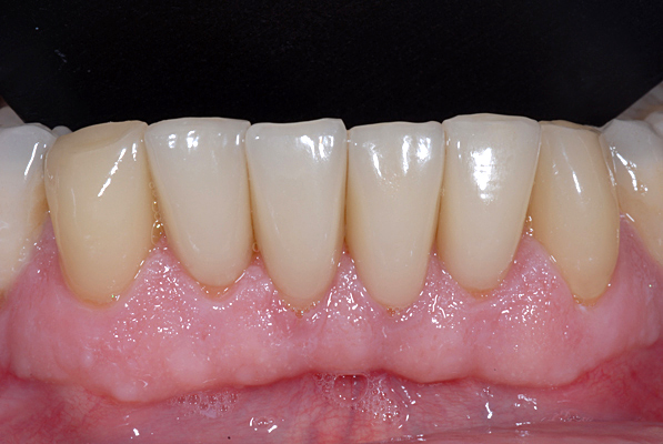
RIABILITAZIONE COMPLETA

 

Riabilitazione completa superiore ed inferiore con faccette anteriori in ceramica integrale e corone posteriori in zirconia-ceramica.

 
   
 

Home | Chi sono | Casi Clinici | Corsi | Conferenze | Pubblicazioni | Articoli | Galleria | Contatti | Privacy Policy | Mappa del sito


Torna ai contenuti | Torna al menu

Cookie Policy

Per migliorare la tua navigazione su questo sito, vengono utilizzati i cookies. Chiudendo questa finestra o cliccando in qualsiasi contenuto o pagina del nostro sito, acconsenti agli utilizzi di cookies e delle altre tecnologie descritti nella nostra Privacy Policy, dove potrai settarli o disattivarli a tuo piacimento.

2